2021 (144)
2022 (223)
2023 (193)
2024 (150)
2025 (103)
先说明,这一期分两个部分,第一个部分可能会引起不适,别急啊,坚持看到第二部分。因为第二部分多半和你息息相关,且还可能给你带来希望和愉悦呢。
无论你对mRNA的态度如何,估计从朋友圈里也听过一些严重副作用,比如凝血甚至猝死的案例。现在问题来了——谁还能不死呢?谁还能不生病咋地?那么多人都打了mRNA,当中有少部分人猝死了,你怎么才能和mRNA联系起来呢?
其实,还是有办法的:“打开看看”。
下面这篇八月份才出来的文章里的大部分内容来源于德国病理学家 Arne Burkhardt 教授(MD)。此人研究了“numerous cases of death which occurred within days to several months after vaccination”. 这些案例的死因都被官方定性为“自然死亡”或者“未知”。你不是未知吗?那咱检查一下看看,不就“已知”了吗?
注意,这可不是这个医生自己非要去检查人家的死者。全都是死者的家属不服,主动来找这个医生。人家好好的一个活人,现在没了,官方就是一个“未知”,人家不干!
结果发现了什么呢?首先,“mRNA vaccines don’t stay at the injection site but instead travel throughout the body and accumulate in various organs”
其次,"Based on the findings, most deaths were attributed to vaccination with a high to very high degree of likelihood."
下面我要一条条举例了,你们自己看。先把文章链接放在下面:
1) 瑞辉自己的动物实验结果表明:mRNA 在48小时内迅速跑遍全身,包括肝脏、胰脏这些。

我在本系列第三期里,引用了日本医学家、大阪市立大学医学部井上正康教授的话,也是一样:迅速跑遍全身,包括卵巢。如果没到达这些器官的话,说实在的,mRNA很难带来实际的伤害。
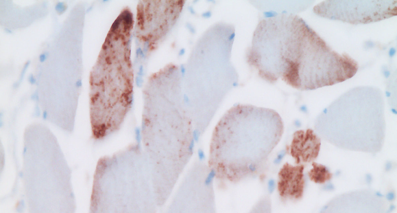
2) 注射的胳膊
刺突蛋白在胳膊的肌肉上,这个当然不稀奇了,这是应该的。但是放个图,你先看看它长啥样:

那些棕色的玩意儿就是用immunohistochemistry的方法来标出来的刺突蛋白。
3) 心脏

这是心脏,左边是刺突蛋白。为啥还要有右边的图呢?可能有人会问:你怎么知道是疫苗,不是真的感染了病毒。如果是感染了病毒,右边的图也会有表达(具体原因请看上面的原文链接,有解释。)
4)肺气管

还有些图省了,但是我要指出一点。在写这篇博文前,我把那篇文章拿给药学系教授看。我问:靠谱吗?他说,基本都靠谱,除了一点。文中引用了一个瑞典的研究报告,关于引起“逆转录”的,用的是肿瘤细胞,而且用的这个jab的浓度很大。他认为这个在正常情况下不会出现。但是其他的发现,是有可能的。
上面让你感觉不好了吗?"Dr. McCullogh的最新资讯:85%的接种疫苗者沒有任何问题,而大约15%的人有副作用。所以如果你是那85%的人并且打完超过了一年了,你应该算是安全了。"
下面截图部分视频。截图不连贯,我懒了,但是大意都有。






所以,不要太害怕,一年差不多能清除。
最后,引用福齐博士八月初的一段发言做结束语:
Dr. Fauci: If you aren’t up-to-date on Covid vaccines and boosters, you’re ‘going to get into trouble’

附:新冠揭秘系列总目录:
https://bbs.wenxuecity.com/currentevent/2878162.html
希望怼你有帮助
语言还是“调皮捣蛋”的活波,让俺这种生物学外行感到了平易近人:)
还好还好,我进入85%的广大群众之中。但同时也为疫苗给另外的15%的接种者所带来的风险,感到难过。勉强能说服自己的原因,是新冠爆发让人措手不及,难免让很多无辜者,成为匆匆上市的疫苗和药物的牺牲品。珍惜每一天吧,因为我们在自己不能掌控的随机下活下来,每天都是幸存:))
娜娜,先把我在我家给你的留言贴在这儿,然后再读啊:
娜娜,我们最怕的不是鬼,是鬼影子对不?当我们看清鬼长啥样时,便会进入下一个反应:怎么对付TA。。。
当你知道你要写什么、且带着使命感去创作时,即便内容和所描述的对象是惊悚骇栗的,也应该对其有足够的掌握和认识。但对于读者和观众,那则是一次充满未知的经历和参与,感性体验占大份。像我这种容易“过度脑补”之人,一定总是自己吓唬自己的。。。
但是,这不等于我不喜欢被吓。被文字刺激是我的爱好,姐这就去你家看看啊:))