退休后第一次摔倒是在纽约,拿着相机东张西望,没留神,脚下马路牙子踩了个空。一个趔趄眼看就要摔个大马趴,年轻时打排球的动作神奇地发挥出来,一个左手扑球侧滚翻,在地上打了一个滚,端坐在马路当中。眼镜被甩了出去,胳膊擦破了一点皮,右手还高高地举着相机。幸好是秋天,穿著长裤子和夹克,路上没车,不然会更惨。第二天没事似的,继续逛街。
那次很为自己自豪,有老当益壮的感觉。两年后,那点豪情荡然无存了。
家里的“办公室”在地下室,空调的出风口正好在头顶上。每年夏天开空调后,都要把出风口关上,可是关不严实,还是往下漏风,得用胶条把出风口封上,不然屋子里太冷。冬天地下室应该多一点暖气,打开出风口,再把胶条摘掉。就这样一年两次,踩在椅子上,蹬上桌子,贴摘胶条。
今年入夏,又开空调,照例找来胶条,蹬上椅子。还没等我站到桌子上,椅子一歪,身子砸在椅子扶手上,跟着一个屁股蹲,坐在地板上。
两个地方疼,屁股和腰。没太当回事,站起来使劲揉了揉,屁股两天后就不疼了。腰可要了命了,左侧肋骨部位疼了一个星期,一咳嗽就疼,一打喷嚏就疼,睡觉一翻身就疼,也不能笑,左手臂也抬不起来。当时没有用冰敷,因为观念上总是和老祖宗的热敷有冲突,搞不明白到底是应该热敷还是冷敷。在电视上看到运动员受伤,都是用冰。后来才明白,刚受伤应该冷敷,24小时后开始热敷。
没冷敷,也没热敷,也没有青肿。吃止疼片,贴膏药,熬了一个星期,好多了,可是还是有点疼。心想,按照第一个星期的恢复速度,再过一个星期就应该没事了。第二个星期过去了,手臂完全可以抬起来了,咳嗽起来还是有点疼。打电话给医生,前台听我说摔倒了,让我去看急诊,我这个年龄应该马上去照透视。我解释说,是两个星期以前摔的,现在好多了,可是还疼。前台立刻给我约了当天看医生。
医生检查后说,心肝肺都正常,可能肋骨有骨裂(fracture),但不严重,还是应该去照个透视。如果有骨裂,还需要至少四个星期,如果没有骨裂,再过一个星期应该会不疼了。
透视后两天,医生打来电话,肋骨果然有微小骨裂,嘱咐不要做引起疼痛的动作。没有什么特别的治疗方法,就是养愈。我想看看透视片子,医生说去透视的地方要,他们会给我做一个光盘。
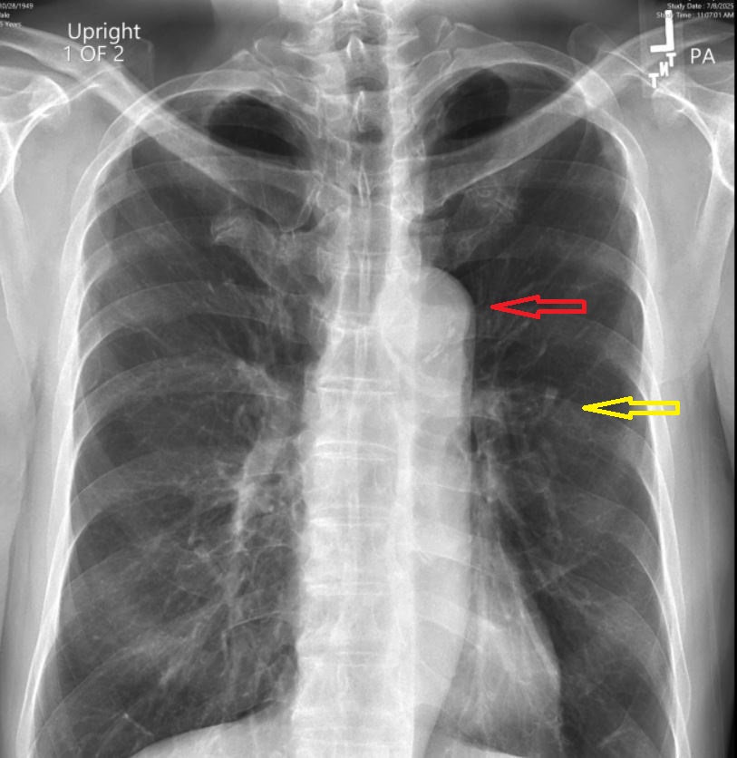
要来了透视光盘,前后左右共八张片子。自己看不懂,从一张片子上看,好像肋骨不是微小骨裂,简直就是骨折(下图黄箭头)。再仔细看,中间有个造影,越看越不像话,胸腔里怎么会有那么个玩意儿(下图红箭头)。上网查,那个玩意儿叫aortic arch,是心脏很大的动脉血管。人体里真是无奇不有。

医生说还要四个星期,觉得医生过于乐观。俗话说伤筋动骨一百天,虽说是微小骨裂,毕竟人老了。已经一个多月没去游泳了,在家“养伤”,用手按肋骨还是觉得没有“痊愈”。
记得第一次摔倒后,自豪之余还是感慨自己老了,可是没有真正吸取教训。希望这次能牢牢记住,自己已经不是当年的自己了。这种爬上爬下的事要格外小心,包括上楼下楼。马路牙子、房前屋后的小台阶、土路上的石块都能把人绊倒,都要留意。
搬来梯子,小心翼翼地登上去,把出风口封上了。