
【生死30小时:ICD植入手术引起的严重倂发症】
我太太生前经常说:”不要老想着走运。老天是公平的,不会总是让人走运,也不会让人老交恶运,一定会平衡的。” 她说的一点没错。我前面交了大好运,幸存活了下来,现在开始平衡了,一连串的坏运气接踵而至。因为这就是人生,有好必定有坏,生活不可能一成不变。
【ICD植入手术后的麻烦】
首先是ICD植入手术后的麻烦。手术后的整个晚上想上厕所,又上不出来,有尿意却排不出来尿,那种滋味现在想起来,还是心有余悸。可能是手术用的麻醉药对我的影响,麻药劲还没过,尿道括约肌(urethral sphincter)还被麻着,而且麻药代谢了也得通过尿的形式排出来。还有一个原因,就是自己的心理因素。第一次自主排尿失败,所以在之后情绪会有些焦虑,这样就影响了膀胱括约肌正常的放松及收缩功能。最后没办法,只好导尿,护士將超音波探頭放在下腹部上来决定是否需要导尿,一晩上没有睡好。许多人在接受麻醉开刀时,都可能曾经历过被导尿的痛苦。这些麻烦相对来说,不算什么,下面发生的才是要命的。
【ICD植入手术严重并发症:血气胸】
第二天(12月23日)早上,护士给我做了X光,结果出来,医生说发现胸部异常,胸腔内部发现有大量液体。不能出院,需要进一步检查。随后给我进行超声波检测(ultrasound),进一步检查诊断为:血胸(Hemothorax)和由此引发的气胸(pneumothorax)。

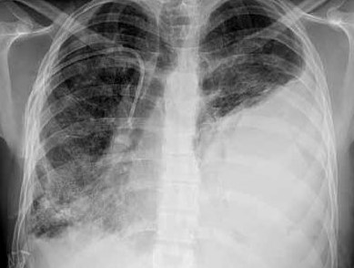
这是正常的X-光胸片
血胸或气胸大多是在 X 光胸片或胸部 CT 检查中发现。X-光检查:中量血胸X线检查可见积血上缘达肩胛角平面或膈顶上5厘米;大量血胸X线检查可见胸腔积液超过肺门平面甚至全血胸。气胸(pneumothorax)是指气体进入胸膜腔,造成积气状态,称为气胸。 多因肺部疾病或外力影响使肺组织和脏层胸膜破裂,或靠近肺表面的细微气肿泡破裂,肺和支气管内空气逸入胸膜腔。气胸,指胸腔内仅含气体,血胸指胸腔内血液积存,血气胸为二者并存。

这是血胸的X-光胸片
【可能的原因】
如任何医疗程序一样,手术中出現问题的可能性还是会有的。虽然情況罕見,但必須要知道:
“大致上,植入ICD/CRT/CRT-D是一项非常低风险的手术。出现严重倂发症的风险只有大约1%。”
又一个小概率事件发生了,这肯定是ICD植入手术造成的。
过后才知道,可能的原因有二。第一,我在之前一直服用血液稀释药Brilinta (替卡格雷)。按道理手术前三天,需要停药但由于某些环节上的差错,pre-check的医护人员没有告诉我要停药。另外一个原因可能有个新手(Hospital resident)参予了手术。我不知道有实习医生参予了我的手术,至到第二天早上他到ICU来探望我,我才知道有此事。

【急性血气胸和凝固性血胸】
由各种不同原因造成的胸腔内出血称为血胸(haemothorax)。血胸可以单独存在,也可与气胸同时存在,称为血气胸。大量血胸或血气胸压迫肺脏,使纵隔移位产生与气胸相同的病理生理变化外,主要表现为内出血征象。多由于心脏或大血管出血(主动脉、肺动、静脉、腔静脉等)所致,多为急性大出血,出现失血性休克,若不能及时抢救常可致死。
血胸是胸膜腔内出现了不该出现的血液。肺的表面包有一层膜,称为脏层胸膜,胸壁内层也有一层膜,称为壁层胸膜,两层膜之间的间隙称为胸膜腔(Pleural cavity)。正常情况下,这个密闭的腔隙内仅有少量的液体起到润滑作用,任何其他原因导致这个间隙内出现血液、或以血液为主的液体成分(血性胸腔积液)即称作血胸,血胸多见于胸部外伤。

急性血气胸是指胸部外伤后所造成的胸膜腔积血、积气,与其它类型严重的胸部伤一样,在诊断和治疗上必须同时进行。及时给予有效的医疗,这样可使病人转危为安,否则可因未及时抢救而死亡。
【血胸的治疗】
胸膜腔内积血谓之血胸。创伤性血胸的发生率在胸部钝性伤中占25%~75%,在穿透性伤中占60%~80%。创伤性血胸的治疗旨在防治休克,及早清除胸膜腔积血以解除肺与纵隔受压和防止感染。一般來讲,小量自发性血胸,可让其自然吸收,不需做穿刺抽液处理。如积血量較多,应尽早行胸膜腔穿刺,尽可能將积血抽淨,促進肺膨胀,以改善呼吸功能。如临床观察判断患者有病情继续恶化,休克症状逐漸加重,胸腔內有進行性出血时,应在积极抗休克及輸全血的同時进行创伤性血胸的治疗。创伤性血胸的治疗旨在防治休克,及早清除胸膜腔积血以解除肺与纵隔受压和防治感染。
【第四次手术:胸腔镜微创手术治凝固性血胸】
生活中我们的皮肤擦伤出血,一般都能自行止血,这种凝血机制是人体的纤维蛋白等凝血物质所起的保护功能。但胸腔内肺、心脏和膈肌不停地运动,会产生去纤维蛋白作用,所以胸腔内的积血多不凝固。如果出血速度快,去纤维蛋白作用不完善,大量的血液会在胸内凝固成块,这种情况称做凝固性血胸 (coagulated hemothorax CH)。凝固性血胸(CH)后期会演变成纤维组织板(血液凝固后随时间延长,慢慢产生变化形成以纤维蛋白为主比较韧的结构),严重者会压迫肺组织,限制胸壁活动,妨碍正常的肺功能。
此时考虑到血液天性易凝固,仅靠胸管难以除尽胸内积血。这时可以做小开胸切口,清除胸腔内的血块等,如果已经发生血块机化形成纤维板块,则需要手术剥离纤维板块(也可采用胸腔镜进行微创手术)。
胸腔镜微创手术:主要应用于凝固性血胸、残余性血胸等,通过胸部小切开进入胸腔,对胸腔内的血凝块进行吸引、灌洗、滴注溶解剂、电凝止血等去除积血,同时可以止住活动性出血。胸腔镜手术的优点是疼痛小、恢复快、手术切开处美观,同时体弱、身体素质差的人也能耐受等。

当天夜里十点多,给我安排了当天的第一个手术,胸膜腔穿刺手术以清除胸膜腔积血。一天两个手术,只记得两次手术都是坐着做的。
这个手术似乎没有感觉到什么,推进手术室很快就被麻倒了,这次是像电视谍战剧中监狱里受刑那样,坐在床上,两手挂在架子上,颇有点坐老虎凳受刑的感觉,因为早早打了麻药,后面如何一概不知,只是过后研究了才知道。
【第五次手术:胸膜腔穿刺手术】
胸穿手术(thoracentesis),简称胸穿,是指对有胸腔积液(或气胸)的患者,为了诊断和治疗疾病的需要而通过胸腔穿刺抽取积液或气体的一种技术。

治疗性:通过抽液、抽气或胸腔减压治疗单侧或双侧胸腔大量积液、积气产生的压迫、呼吸困难等症状。
午夜时分,又要去下一个手术,仍然是坐着,背部开了一个口子,医生用管子伸进胸腔去抽取积液,着实难受,虽然有局部麻醉,但还是疼,疼的几乎快晕厥过去。

【再次被送进ICU病房】
由于失血过多,急需输血,我又被送进ICU病房。医生告诉我应在积极抗休克及輸全血的同時,如果发现血止不住,可能会果断進行紧急开胸手术找出出血点进行止血。
出血可能会是胸壁血管出血、肺裂伤出血或心脏大血管出血,所以确定出血的来源对于治疗有重要意义。这属于急症手术的疾病,需要及时开胸手术探查,根据手术观察到的问题进行及时处理。处理方法主要有对肋间血管、胸廓内血管缝扎止血、肺破裂出血进行缝合等,如有心脏大血管破裂情况要及时进行修复,术后放置胸管并继续观察病情。
在关键时刻,我又躲过一劫,第二天中午,血似乎止住了,医生告诉我不用做开胸手术了,但需继续输血,终于渡过了这生死30小时,傍晚病情稳定,我被转到了普通病房。
有生以来第一次在医院过了平安夜、圣诞节,直到12月27日才出院。
难忘的2015年圣诞节(惊喜)礼物:
以前很少吃止疼药,疼的受不了,从那时起,开始吃了。

。望多多保重。写的很详细, 作者肯定有很好的医学基础。手术中都会有实习医生 (Resident 和 Fellow) 的参与, 这是他们学习练手的机会。遇到个有经验的就算运气好。