
描述:这是一位西班牙裔的病人,患者是1周前出现了鼻塞,咳嗽。2天前出现发热,寒战,全身酸痛,偶尔有胸部不适和呼吸困难。
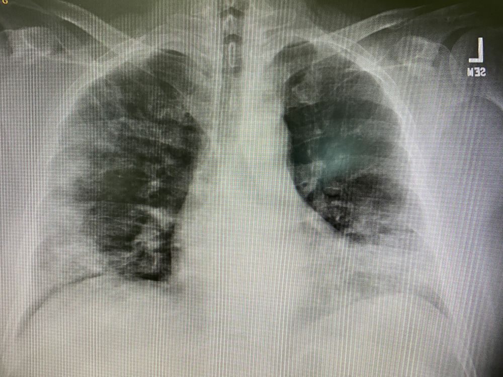
周四,病人没有家庭医生,来Urgent care就诊。体温高达103.2F(39.5C),还好血氧饱和度100%。病人血常规显白细胞轻微升高,有明显的淋巴细胞减少。做了快速新冠抗原检测,阳性!胸片可见明显的病变,好大一部分的肺都白了。原则上是病人的血氧饱和度低,才会建议病人去医院的,但是看到这么明显的胸片浸润灶,还是毅然决然的让病人去医院。很不幸的是,病人拒绝了,签了违背医嘱的AMA表格,坚持在家隔离观察,选择情况恶化了自己去医院急诊。

周一凌晨,噩耗传来。病人已经死在了家里。因为病人没有家庭医生,家属联系我们中心,帮忙签署死亡证明。
点评:以下不只是血的教训,而是死的教训:
1、 不要让语言障碍成为就医障碍。患者是西班牙裔,不会说英语。病人是等到家人有时间陪她一起来,才来就诊。其实,很多医疗系统都有翻译系统,不要因为语言的障碍延误病情。急诊室有各种语言的在线翻译,包括手语的都有。
2、新冠感染可能会迅速恶化。某些人在感染新冠之后,可能会迅速恶化。谁会是这些人,我们没有很好的指标判定。每个人都有可能是“这些人”,每个人都需要严加防范。保护好自己,就是保护到了周围的人---预防是关键!如果真的出现严重呼吸困难,一定记得打急救电话而不是自己开车去医院---时间就是生命。
3、遵医嘱很重要。病人有选择治疗或者不治疗的权利;但是生命攸关,尽量遵医嘱。签署违背医嘱的AMA表格是下下策。医生对病情的预测不一定每次都准确,但是任何一次的错过,可能丢失就是一条生命。
如何预防新冠:戴口罩,正确的戴口罩
做了一期视频,帮助大家理解,嬉笑间长知识。