推荐一首歌,我认为好于原唱
人的基本素质:男儿坚强,女孩善良
以后诊治中主要医护人员:B医生,胸外科;A医生,肿瘤内科;C医生,家庭医生;C护士,有处方权的肿瘤科高护。A医生和B医生在一个治疗团队(Team)。美国施行医生负责制,每位医生有自己的患者群,同一团队的医生经主治医生同意后可临时代管。同一团队的医护定期开会讨论新患者及重患的诊治方案。每位患者有自己的家庭医生,如果需要专科医生,由家庭医生推荐,否则医保会找你麻烦。每次看医生要提前预约,接待(Intake nurse)或协调(scheduler)核对医生排班后选定时段。有紧急情况可以直接联系医生或团体电话。
在接下几篇博文中会有许多专业术语釆用中英文並列。有不当之处,请专业人士指明。
正文
回家后,告诉妻子我左肺有问题,要进一步检查确诊。以后所有诊治过程均有妻子陪伴。
迄今为止,除轻咳外,体温不高,没有任何疼痛,无呼吸障碍,无痰,体重没变化,外表看不出任何病象。
九月三日如约见B医生,体检后认定胸水又涨回来了,需要再次抽水,然后做CT。
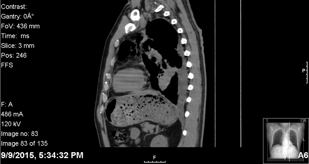
九月九日再次抽出一升半褐色胸水。接着做了胸部CT。第二天收到报告:左肺下叶占位性病变並向前上方沿胸膜延展,左肺可见散在胸膜结状物。(There is a 4.6 x 4.2 x 3.2 cm left lower lobe mass like opacity with a thick band extending anteriorly and superiorly along the pleura. Scattered pleural nodularity is seen throughout the left lung)
经CT定位后,B医生安排了下一步检查。
9月11日 做了支气管镜检和探针活捡后,B医生告诉我:“没发现淋巴结肿大,那个占位病变应该是非小细胞肺癌,要等活检样品的病理和基因检查结果才能判定肿瘤性质。
14日病理报告出来了,概括为:样品A(B医生解释为汇集的淋巴结活检):恶性细胞阴性;样品B(来自瘤体):可疑恶性细胞,支气管细胞异变,不排除高分化腺癌。
| Case Report |
| Clinical Information | |||||||||
| Exudative effusion, lung mass, former smoker. | |||||||||
| SPECIMEN A | EBUS -TBNA | Final | |||||||
| SPECIMEN A ADEQUACY | Satisfactory for evaluation | Final | |||||||
| SPECIMEN A DIAGNOSIS | NEGATIVE FOR MALIGNANT CELLS | Final | |||||||
| Electronically signed by Nicole A. Massoll, MD on 9/14/2015 at 11:34 AM | |||||||||
| SPECIMEN B | EBUS -TBNA | Final | |||||||
| SPECIMEN B ADEQUACY | Satisfactory for evaluation | Final | |||||||
| SPECIMEN B DIAGNOSIS | SUSPICIOUS FOR MALIGNANCY | Final | |||||||
|
|||||||||
| Electronically signed by Nicole A. Massoll, MD on 9/14/2015 at 11:34 AM | |||||||||
| Immediate Evaluation | |||||||||
| A: 1-3: negative for malignancy B: positive for malignancy, favor adenocarcinoma |
|||||||||
B医生进一步安排了PET-CT Scan(不知中文称呼)和胸腔镜检(Pleuroscopy)、脑核磁(Brain MRI)。
9月21日空腹六小时,静脉注射氟标记葡萄糖(18F-FDG)后静坐60分钟,然后扫描。第二天得到报告,简述如下:左肺门区代谢活跃,最大标准化摄入值(SUV)为3.0;无远程转移灶。(METABOLIC ACTIVITY IN THE LEFT HILUM MAXIMUM S U V 3.0, NO DISTANT METASTASIS SEEN)
9月22日胸腔镜。空腹一夜,又在候诊大厅等了一上午(我排在第二,但前一个患者手术中出了状况,延长了三个小时)。中午12点被全麻后推入手术室,二小时后醒来完全记不得发生了什么。妻子说在里面只待了二十分钟。B医生过来说可以回家了,胸壁只有两个小眼,第二天就可淋浴,不用回来拆线。B医生告诉我们胸腔镜检时发现胸壁侧有很多小突起,取了几个送病理及基因检测。
病理报告:肺源性腺癌阳性。(Path Report: Positive for adenocarcinoma of primary lung origin. The tumor cells are positive for TTF1, MOC31, Napsin and Ber EP4. Mesothelial markers WT1 and calretinin are negative in the neoplastic cell population. CD68 highlights histiocytes. This immunoprofile supports the above diagnosis.)
至此,得到初步诊断:左肺下叶腺癌,胸腔转移,4a期。不能手术,无法放疗。
23日脑核磁排除了脑转移。
B医生告诉我们,他已经做了他能做的,接下来由A医生负责治疗。
接下来等待基因检测中心(FoundationOne)的报告,以期待能用上靶向药物。
结果再一次失望,被告之没有靶向药物配我的癌基因型;PD-L1阴性,不适用OPDIVO类新药。
在长达一个月的诊断过程中,妻子情绪波动大。最早X光片提示肺炎,后来证明是肺癌,再明确到晩期。随着诊断的过程,妻子由担心,着急,变得焦虑,甚至恐惧。
在得知最终诊断后才告诉远在西雅图工作的女儿,她直接打电话给A医生询问。具体内容没告诉我们,只是说:“什么时候开始化疗,我回去陪你”
在此期间看的第一本书 http://blochcancer.org/books/fighting-cancer/ 该书作者是癌症存活者,用了半本书讲如何调整心态。
在得知自己患有四期肺癌之后,除了工作有关的人以及特别好的本地朋友,我没有跟其他人讲过。我的一些国内亲属,包括我父亲至今都不知道,我大学同学包括在美国的也都不知道。自己的事,自己抗。已经发生了的无法改变,要面对,何必冤天由人。自己内心强大,无需他人鼓励。我一直把自己当作正常人,你们也不必带着怜悯看我。就当做人生路上一场历练,勇往直前。只有弱者才乞盼同情,才希望分享减压,可是弱者很难过这一关的。人生当自信自立自强。
其实最痛苦最需要安慰的是家人,不是患者。
这一篇虽然讲的是诊断过程,可随着每项结果带来情绪起伏,故题名心考。
附件:第一次CT三维截图,非专业勿看



上一篇:https://blog.wenxuecity.com/myblog/73054/201708/24940.html
下一篇:https://blog.wenxuecity.com/myblog/73054/201708/27328.html
1. 多吃素菜,干果,豆类,少食肉类,甜点,甜饮料。
2. 一日两餐,留出16个小时的禁食的时间。
3. 每周3-5次桑拿,一次20-30分钟,如果身体允许,每次时间可长些。许多健身房,如YMCA,可能有桑拿室。
希望这些对你能有益。
? 抗菌作用,对金黄色葡萄球菌、卡他球菌、绿脓杆菌、红色发癣菌、发疮小芽孢癣菌、甲型或乙型链球菌、大肠杆菌等抑制。
? 抗病毒作用,对流感亚洲甲型京科68~1病毒、孤儿病毒、Ⅰ/Ⅱ型疱疹病毒及柯萨奇病毒、人类T淋巴细胞病毒~1(HTLV-1)等作用,亦能抑制HIV艾滋病毒。
? 诱导醌还原酶作用及Phase2解毒基因系统,解毒与排毒。
? 促进血管舒张活性,生成一氧化氮并帮助“性”福。
? 预防心脏病,抑制血块形成与协助胆固醇新陈代谢。
? 抑制血小板凝结和血清素的分泌。
? 新型的心血管保护剂,并预防血液循环不良、静脉曲张等。
? 防止低密度脂蛋白(坏胆固醇)氧化,并防止慢性缺血。
? 减少心肌梗塞和缺血再灌注造成的伤害。
? 防止动脉粥状硬化,预防冠心病发生。
? 抑制血管新生,预防癌症与类风湿性关节炎、糖尿病倂发的视网膜病变、动脉硬化等。
? 限制卡路里量摄取,调节foxo-1,帮助瘦身减重。
? 活化AMPK蛋白激酶,提高身体对胰岛素敏感性,调节1GF-1浓度,降低糖尿病血糖浓度,具减肥效果。
? 新型的植物性雌激素,可作为更年期妇女补充雌激素的安全替代品,妇女经前后调理物。
? 减少骨质疏松的机率,促进软骨新形成。
? 减少基质金属酵素第2型、第9型的活性,保护眼睛防护眼疾。
? 降低血中低密度脂蛋白胆固醇及三酸甘油酯。
? 保护脑部及神经系统,预防老人痴呆症、帕金森氏症、脑中风、癫痫与休克等神经退化性疾病,调节IGF-1滋养神经元干细胞。
? 治疗静脉曲张、痔疮,消除皮肤瘢痕。
? 抗自由基,预防自由基所造成的灾害。
? 抗紫外线,保护皮肤。
? 活化SIRT-1基因,调节IGF-1生长因子,延缓人类衰老、抗老化、拮抗肥胖基因PPARr变异与修补,达到基因治疗治本的减肥功效。
? 改善体内线粒体功能,活化PGC-1a对抗细胞代谢性疾病,活化与修护骨髓干细胞。
? 抗炎症,抑制环氧酵素(COX)的产生及发炎引起肿瘤的产生。
? 抑制酪胺酸酶活性,减少黑色素形成,帮助美白效果。
? 活化EGF、PDGF和TGF,帮助皮肤再生、改善肤质,减少肤斑与皱纹,滋养毛囊干细胞。
? 封锁癌细胞保镖NFkB,活化P53抑癌基因抗癌活性,能防止细胞的癌变,阻止恶性肿瘤扩散,对肿瘤发生的起始、促进、扩散三大阶段,都有抑制作用,较确定的有皮肤癌、乳癌、前列腺癌、胃癌、大肠癌、肝癌、肺癌、头颈癌(含鼻咽癌)、子宫颈癌、淋巴癌、骨髓癌、复杂性骨髓癌、胰腺癌、甲状腺癌、黑色素癌、卵巢癌、肾细胞癌等癌症。
? 抗过敏作用、气喘。
? 提高慢性支气管炎、肺气肿的抵抗力。
? 有助于稳定情绪、安眠、抗忧郁。
? 与PPARs活化剂、化疗药物联合应用,均具有加乘作用效果。
http://blog.wenxuecity.com/myblog/68128/201708/26788.html
关于“只有弱者才乞盼同情,才希望分享减压”,我认为有些情况下心理咨询是有必要和有帮助的。I would appreciate sincere help and kindness, even from strangers.
也非常感谢你写下自己的经历。因着你的文字,相信你正在或已经帮助了别人!
钦佩,致敬!
祝福您和您的家人。保佑你
Have you found such a diet yet?
同路人,没有所谓怜悯。有些感觉,也许只有经过人才理解。