肝脏是人体内最大的化工厂。对各种营养物质进行加工,合成,贮存。还有一个重要的功能,将吸收入体内的毒物或机体代谢过程中产生的有害物质转变成为无毒或低毒物质,促进其排泄,减少对机体的损害。肝脏尚参与机体的免疫防御过程。也就是说肝脏是体内受各种有害物质冲击最严重的器官之一。
原发性肝癌可发生于各种年龄,以中国的资料为例,以中年发病为多,男性患者比女性多七,八倍 (喝酒?),排全部男性癌症的第四位,占全部男性癌症的17 %,女性排第七位,占全部女性癌症的6 %。严重的情况是百分之九十以上在确诊时已经属中、晚期。欧美原发性肝癌少见,大多为继发性(转移性)肝癌。更严重的情况是,中国肝癌的发病率和死亡率 (全部肝癌引起的死亡病例)都占全世界的一半 (2014 年资料),所以很有必要说说肝癌的成因:
病毒性肝炎。乙型肝炎病毒感染是肝癌发生的最主要原因。乙型肝炎主要通过母婴、血液和性接触这三种途径传播。肝炎--肝硬化--肝癌,被称为肝癌三部曲。好在现在已经有有效的乙肝疫苗可以接种。疫苗接种普及之日就是告别肝癌大国之时。
酒精。饮酒可引起酒精性脂肪肝、酒精性肝炎、酒精性肝硬化等多种慢性肝病,而且可加重乙肝病毒等引起的肝损害,从而进一步发展为肝癌。(喝酒伤肝,不喝酒伤心,真有点儿让人无所事从,但经常酗酒就是慢性自杀)。
饮食相关因素。已经明确的是黄曲霉素B1,主要产生于霉变的粮食中,象是玉米、花生、大米等。亚硝酸盐含量较高的食物,如腌渍,烟熏类食物,亚硝酸盐在高温下可转变为亚硝胺,后者与胃癌,肝癌等有关。油炸食物(含三四苯丙芘),以及吸烟 (含硝基胺和焦油等)。
药物。俗话说是药三分毒,肝脏又是解毒的重要器官。有关资料显示某些中草药有明确的肝损害作用 (没有诋毁祖国医学的意思,只是就事论事,好心提个醒。一般西药有肝损害时都会注明,但人们对中药的认识局限)。
环境污染。尤其是近二,三十年来,土壤,空气,水源等污染日益严重,几乎没有人能幸免。然后又通过呼吸,饮食进入人们的体内。(荷包鼓囊了,肚子也变大了,但愿不是肝腹水引起的)。
前面提到肝癌确诊时大多已经中晚期,究其原因,主要是肝癌早期没什么症状,肝脏的代偿功能强,有四分之一工作就可正常运转。所以除了尽量普及乙肝疫苗接种外,应特别注意肝脏损害的不适表现:肝区隐疼、腹胀,食欲下降、疲乏无力、日渐消瘦等,黄疸,腹水,消化道出血等已经相当晚了。
“怒伤肝” 是中医的理论,虽然没有统计资料研究过是否脾气大的人容易得肝病,但从生理学角度讲,生气是一个应急反应,可引起多种激素分泌改变。俺倒是听有人说过:气的肝疼。在下想,肝疼肯定不是一件好事。这当然不能归类为肝癌的病因,但少发脾气自然有益,也不算题外话。
肝癌的早期诊断,主要方法如下。
血清甲胎蛋白 (AFP)测定,有相对的特异性,可用于高危人群的筛选。
B型超声波检查,是一个较好的影像学检查方法。但2 厘米以下的肿瘤不易发现。
断层扫描 (CT),可发现微小肿块,对肝癌的早期诊断帮助很大。
核磁共振 (MRI),也可用于进一歩诊断。
尚有肝动脉造影及肝穿刺检查,根据临床需要而定。
目前肝癌的治疗不尽人意。早期肝癌5年生存率50~70%,中期5年生存率25~30%,晚期5年生存率10~15%, 整体5年生存率不足15%。
总之,国人肝癌高发,早期不易发现。治疗预后差 (初诊时大多已经中晚期)。肝癌的病因相对明确 (乙型病毒性肝炎,酒精引起的肝硬化, 黄曲霉毒素B1 )。乙肝疫苗接种至关重要,戒烟少喝酒,不吃霉变食物, 高危人群定期检查,是预防和早期发现肝癌的可行之道。
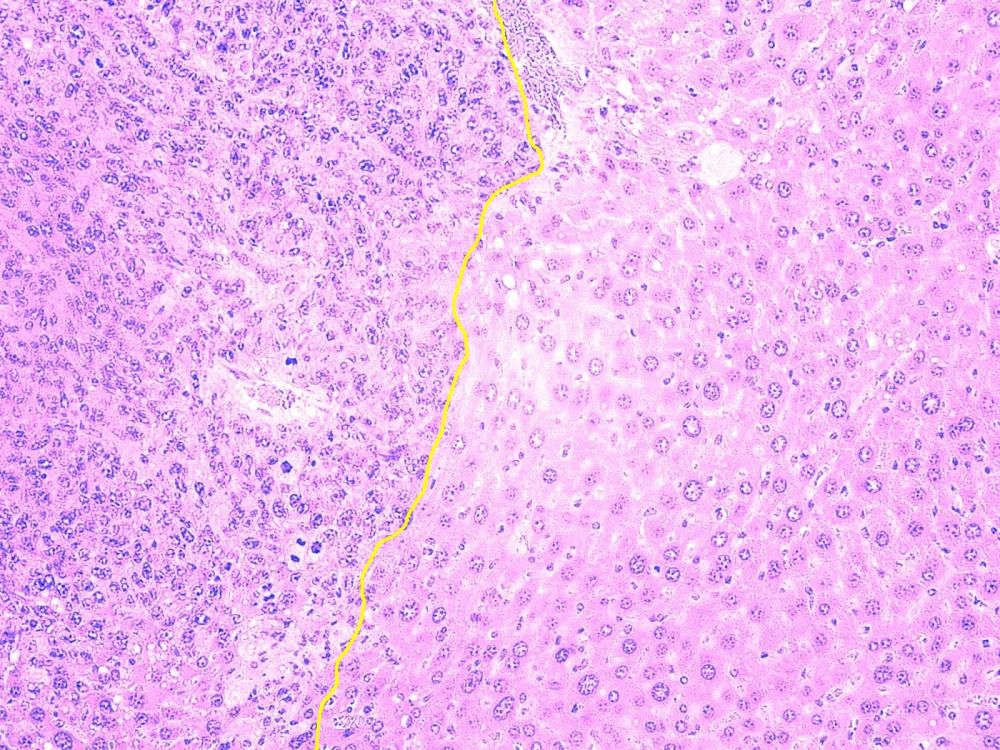
结肠癌肝转移动物模型(黄线左边是癌细胞),来自在下的工作:
下篇预告:结直肠癌,偏爱"富人"