2008 (64)
2009 (36)
2010 (59)
2011 (35)
2023 (1)
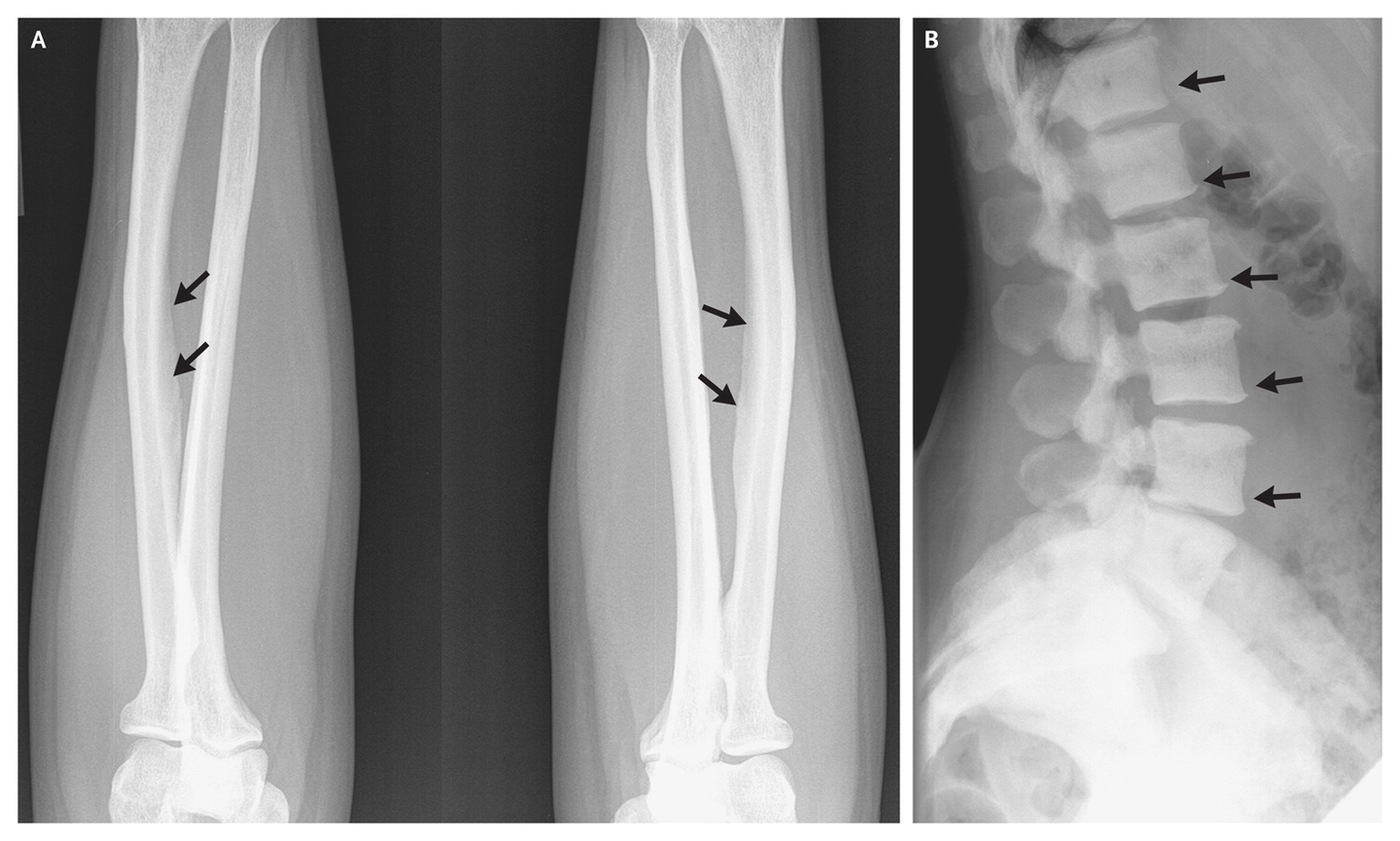
先讲最近新英格兰医学杂志报导的一个病例。患者女性,47岁,嗜茶十七年。近五年来发现腿,手臂,下腰和髋关节严重疼痛。就诊时,牙齿由于太脆,都已断裂而拔光了。X光检查发现她骨膜钙化,骨表面有厚厚的沉淀 (图1)。血液检查发现氟浓度高出正常人四倍多。她患的是骨和牙齿的氟化病。医生根据她的饮茶习惯,估计她每天氟的摄于量大约在20毫克以上。医生嘱她停止喝茶后,症状渐有好转。但完全靠病人自然地清除骨骼里多余的氟,需要几年的时间。医生正考虑进行药物治疗,来加快这一过程。
氟存在于自然界的土壤和水源里。法国科学家弗雷米曾因成功地提取到氟的单体,在1906年得过诺贝尔奖。在土壤里氟是仅次于氯的卤族元素,所以动植物体内都含有氟。人通过饮水和进食摄入氟。茶树具有选择性地主动吸收氟的能力,而且其能力随着茶树的年龄而增长。不同茶叶冲出的茶中,其释放的氟的含量也不同。一般说,发酵的茶中含量较高。普洱茶,黑茶,砖茶,都是充分发酵的,乌龙茶是半发酵的,绿茶和白茶是不发酵的。上述那位英国病人,喝的就是英国的黑茶。如果将2 克茶叶放在100毫升水中,冲泡5分钟,测其氟的含量,黑茶中的氟含量,大约是绿茶的三倍,白茶的10 倍。有些砖茶的氟含量,甚至比一般的绿茶高出100 倍。茶叶冲泡时间延长,茶水中氟含量可增加20%到40%。 所以把一袋茶叶,一直放在水中,不断冲饮,人几乎就可能将茶叶中的全部氟摄入体内。
氟容易吸收。饮食中的氟,80% 可进入血液分布全身。骨骼和牙齿有主动摄取氟的能力,因为氟是齿和骨组织的原料之一。氟和骨骼里的钙起反应,生成氟化钙(CaF2),可提高骨骼的密度。在牙齿表面,可保护牙齿的釉质,抵抗酸和细菌对牙齿的侵蚀。氟的这一功劳,不应抹杀。
但我们必须知道,氟是一把双刃剑。过多的氟化钙可使骨骼硬而脆,容易骨折;使关节软骨和韧带硬化,导致畸形,如踝膝内翻,下肢交剪,弓背等等(图2和3)。当氟化钙过多时,机体会清除氟化钙,从而又会使骨骼失去钙,导致骨骼疏松。过多的氟沉积在牙齿表面,可使牙齿呈现白斑,或变成褐色,且脆而易断(图4和5)。
所以,茶,尤其是普洱茶砖茶这些完全发酵的茶,不是喝得越多越好,牙膏也不是氟含量越高越好。科学家估计,人正常摄入大约2毫克的氟即已足够。中国内蒙,宁夏,陕西,山西,河北,山东,贵州,福建等地都是高氟地区,更不宜过多地盲目补氟。西藏内蒙等地的少数民族,有用茶叶掺入主食的习惯,那儿就常常发现严重的骨骼和牙齿的氟化病。世界上氟化病较多的国家一是印度,二是中国,再就是英国等有饮茶习惯的国家。据报道,印度约有六千万人有氟化病,六百万人因此造成功能障碍(见图2和3)。联合国世界卫生组织最近估计,中国大约有二百七十万人患有骨骼和牙齿的高氟症。一篇来自英国的报导说,英国孩子的氟,有50%是从茶里获得的。
除了喝茶和食物外,氟容易气化生成氟化氢(HF),可经呼吸道吸入。火山喷发会产生大量的氟化氢,吸入后有致命的危险。化工厂的工人,如果防卫措施不充分,也会吸入这种气体。煤炭燃烧时也可释放出氟化氢,所以长期烧煤取暖,会导致高氟血症。小孩刷牙,容易将牙膏吞咽下去,从而摄入过多的氟。如果你发现你的孩子牙齿上有了白色的斑点(如图4),说不定就是高氟的一个早期讯号,不可大意,因为它可能影响孩子将来牙齿和骨骼的发育。
(图1来自New England Journal of Medicine, 其余来自网络)(96)
Fig。 1.
. 
Fig.2.

Fig.3

Fig.4

Fig.5
